Запись на консультацию: +7 (499) 390-35-72+7 (926) 984-81-70
Главная
О докторе
Заболевания
Симптомы
Лечение
FAQ
Отзывы
Цены
Задать вопрос
Видео
Контакты

Нейрохирург
Дуров Олег Владимирович

Запись на консультацию:+7 (499) 390-35-72+7 (926) 984-81-70

Лечение стеноза позвоночника

В начальных стадиях развития дегенеративного (т.е. в результате остеохондроза) стеноза позвоночного канала достаточно консервативной терапии. Использование препаратов, улучшающих микроциркуляцию в спинномозговых корешках, в том числе ингибиторов противовоспалительных цитокинов, кальцитонина или его синтетических аналогов (миокальцик), а также эпидуральных блокад с кортикостероидами позволяет части больным с поясничным спинальным стенозом избежать хирургического вмешательства. Уменьшение массы тела, лечебная физкультура, в том числе упражнения в бассейне, также позволяют уменьшить интенсивность проявления симптомов. Необходимо признать, что консервативная терапия имеет много ограничений и зачастую не эффективна. Обычная гимнастика находит ограниченное применение. У пациентов со стенозом, вызванным спондилолистезом, эффективно ношение ортопедического корсета. Хорошо уменьшают хроническую боль нестероидные противовоспалительные средства. Однако как было сказано ранее, указанные методы не являются радикальными и снимают боли лишь на время.

Хирургическое лечение стеноза позвоночника

При неэффективности консервативной терапии проводимой в течение 3-4 месяцев решается вопрос о проведении хирургического лечения. Хирургическое лечение стеноза позвоночного канала заключается в выполнении декомпрессии позвоночного канала (т.е. освобождении его от сдавления(компрессии)), т.е. удалении гипертрофированных (утолщенных) желтых связок, части разросшихся фасеточных суставов для освобождения сдавленных спинномозговых корешков на поясничном уровне.

Современное хирургическое вмешательство выполняется из минидоступа, т.е. из разреза длиной около 4-5 см по средней линии. Выполняется доступ к междужковому пространству с одной стороны от средней линии или же с обеих сторон с полным удалением дужки позвонка, т.е. выполнением ламинэктомии. Данная технология позволяет выполнить декомпрессию спинномозговых корешков на поясничном отделе позвоночника с обеих сторон из мини разреза.

Вследствие того, что наиболее частой причиной стеноза позвоночного канала является нестабильность в позвоночнике, операцию декомпрессии позвоночного канала необходимо дополнять транспедикулярной фиксацией позвоночника. (Рис.6а,б).

Рис.6а. Схема введения винтов через дужки позвонка при  транспедикулярной фиксации позвоночника. Серым цветом  указана зона удаления дужки позвонка. Рис.6б. Схема транспедикулярной фиксации L5-S1 позвонков титановой конструкцией. Окончательный вид конструкции  в сборе (вид сверху). Серым цветом указана зона удаления  дужки L5 позвонка.
Рис.6а. Схема введения винтов через дужки позвонка при
транспедикулярной фиксации позвоночника. Серым цветом
указана зона удаления дужки позвонка.
Рис.6б. Схема транспедикулярной фиксации L5-S1 позвонков
титановой конструкцией. Окончательный вид конструкции
в сборе (вид сверху). Серым цветом указана зона удаления
дужки L5 позвонка.

Кроме того, выполнение ламинэктомии всегда должно заканчиваться транспедикулярной фиксацией в соответствии с рекомендациями зарубежных исследователей. В противном случае у пациента обычно развивается нестабильность, что приводит к болям в поясничном отделе позвоночника. Транспедикулярная фиксация при выполнении декомпрессии из мини доступа проводится чрескожно, т.е. через разрезы длиной около 2см.

Персональный опыт

Всего, мною было выполнено более 300 операций при стенозе позвоночного канала позвоночника. Большая часть операций по декомпрессии спинного мозга завершалась фиксацией позвоночника различными системами и имплантами. Наилучшие результаты получены при использовании транспедикулярной фиксации позвоночника.

Клинический пример

Больная В., 64 лет.

Боли в поясничном отделе позвоночника отмечает в течение многих лет. Последнее обострение около 4-х месяцев, когда появились боли в левой ноге.  Затем присоединилась слабость в сгибателях и разгибателях левой стопы. Консервативная терапия без эффекта.

Объективно: в клинической картине преобладает вертебральный и корешковый синдром слева, парез в левой стопе до 4 баллов.

При МРТ и рентгенографии поясничного отдела позвоночника выявляется спондилолизный антеролистез L4 позвонка со стенозированием позвоночного канала на указанном уровне, грыжа мп диска L4-L5 слева. (Рис.7а,б. Рис.8а,б)


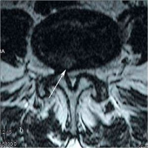
Рис.7b. Магнитно-резонансная томография (МРТ) поясничного отдела позвоночника в сагиттальной (a) и аксиальной (b) проекции. Стрелкой показана область стеноза позвоночного канала на уровне L4-L5 позвонков (7а) и мп секвестрированная парамедианная грыжа диска L4-L5 слева на фоне стеноза позвоночного канала.
Рис.7. Магнитно-резонансная томография (МРТ) поясничного отдела позвоночника в аксиальной проекции. Стрелкой показана мп секвестрированная парамедианная грыжа диска L4-L5 слева на фоне стеноза позвоночного канала.
 
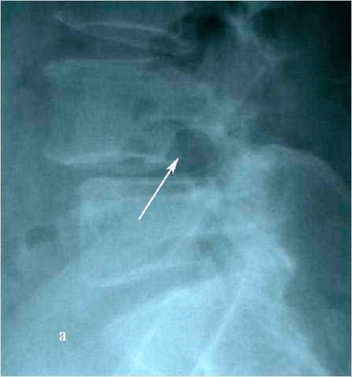
Рис. 8а. Рентгенограмма поясничного отдела позвоночника в боковой (а) и прямой (b) проекциях до операции. Стрелкой показано смещение тела L4 позвонка кпереди. Рис. 8b. Рентгенограмма поясничного отдела позвоночника в боковой (а) и прямой (b) проекциях до операции. Стрелкой показано смещение тела L4 позвонка кпереди.
Рис. 8а,b. Рентгенограмма поясничного отдела позвоночника в боковой (а) и прямой (b) проекциях до операции. Стрелкой показано смещение тела L4 позвонка кпереди.

Больной выполнена декомпрессивная ламинэктомия L4 позвонка, удаление грыжи мп диска L4-L5 слева, транспедикулярная фиксация L4-L5 позвонков открытым способом.

Больная была выписана на 6 сутки после операции. Рана зажила первичным натяжением. Больная отметила значительное уменьшение болей в левой ноге, полное восстановление силы в левой стопе, сохранялись незначительные боли в области послеоперационной раны. С рекомендациями была выписана из стационара домой.

При контрольной рентгенограмме отмечено правильное положение транспедикулярной системы на уровне L4-L5 позвонков. (Рис.9a,b).

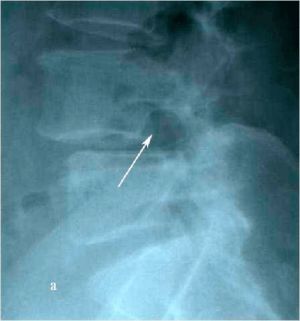
Рис. 9 a. Ренгенограмма поясничного отдела позвоночника в боковой (a) и прямой (b) проекции. Транспедикулярная фиксация  L4-L5 позвонков титановой конструкцией, удалена дужка L4 позвонка. Рис. 9 b. Ренгенограмма поясничного отдела позвоночника в боковой (a) и прямой (b) проекции. Транспедикулярная фиксация  L4-L5 позвонков титановой конструкцией, удалена дужка L4 позвонка.
Рис. 9 a,b. Ренгенограмма поясничного отдела позвоночника в боковой (a) и прямой (b) проекции. Транспедикулярная фиксация
L4-L5 позвонков титановой конструкцией, удалена дужка L4 позвонка.
 

Не откладывайте свою консультацию на завтра, обратитесь  за помощью сегодня!

Для решения вопроса о выборе метода лечения необходимо записаться на консультацию к нейрохирургу Дурову Олегу Владимировичу по телефону: +7 (499) 390-35-72.

Полезные разделы
Грыжа межпозвоночного диска
Лечение межпозвоночной грыжи
Причины межпозвонковой грыжи
Диагностика межпозвонковой грыжи
Грыжа L5-S1
Грыжа L4-L5
Лечение антелистеза
Запись на консультацию проводится по телефону:
+7 (499) 390-35-72 +7 (926) 984-81-70
Или на сайте Prodoctorov.ru: Записаться